Lien entre les hormones et la santé du cerveau chez les femmes
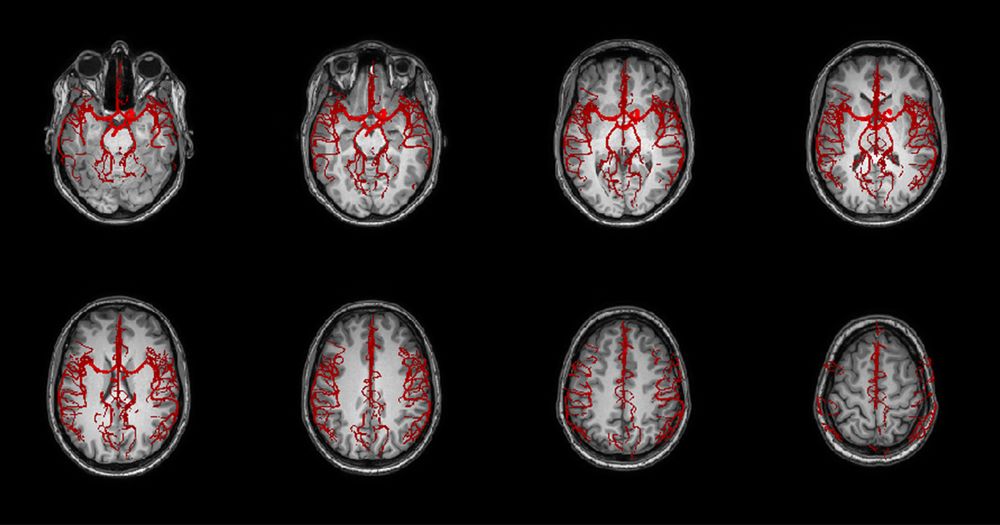
20 novembre 2023Une équipe de recherche établi un lien entre l’historique hormonale des femmes et la détérioration des petits vaisseaux de leur cerveau.
Une équipe de recherche établi un lien entre l’historique hormonale des femmes et la détérioration des petits vaisseaux de leur cerveau.
Une infirmière évaluera le besoin de santé et pourra donner un rendez-vous médical si requis.
Grâce à l'expertise de nos équipes, des tests d’imagerie plus nombreux et plus précis sont réalisés pour détecter le cancer de la prostate.
En vigueur depuis le 21 septembre, cette consigne s’adresse au personnel, personnes prochaines aidantes, visiteurs et visiteuses.
L’an dernier, trois appareils d’imagerie médicale ont été acquis pour des services à la population et pour la recherche.
Les services essentiels seront maintenus lors de ces journées.
Le CIUSSS de l’Estrie – CHUS s’est vu attribuer le statut d’établissement agréé par Agrément Canada.